福州万象城AWC(中国)生物技术开发有限公司

    万象城AWC(中国)

    产品搜索
    当前位置:万象城AWC(中国) > 新闻资讯 > 热点聚焦

    “迈迈”病理周读笔记第三十五期 | 血管肿瘤及血管周围肿瘤诊断免疫组化指标

    发布时间:2021-12-13 13:20:17



    导语:


    血管肿瘤及血管周围肿瘤一般形态学特征比较明确,但根据分化程度的不同,有时需要借助免疫组化进行鉴别诊断。本文我们将对血管肿瘤及血管周围肿瘤常用的免疫组化指标进行介绍,希望对病理同仁的日常诊断工作有所参考借鉴。



    图片


    血管肿瘤免疫组化概述


    血管肿瘤诊断常用免疫组化指标有CD31、CD34、VIII因子、CD105、ERG、podoplanin(D2-40)、血栓调节蛋白(thrombomodulin,CD141)、Fli-1。

    表1. 血管肿瘤常用免疫组化标记

    图片

    (点击可查看大图)

    备注:

    1. Glut-1在血管瘤一般为阳性,但血管畸形、化脓性肉芽肿、肉芽组织中为阴性;

    2. Dabska瘤,又称恶性血管内乳头状血管内皮瘤、淋巴管内乳头状血管内皮瘤。



    部分指标详解



    01

    CD31

    阳性表达模式:细胞膜/细胞质

    推荐阳性质控组织:阑尾

     


    CD31又称为血小板内皮细胞黏附分子-1(platelet endothelial cell adhesion molecule-1,PECAM-1),是一种跨膜糖蛋白,属于免疫球蛋白家族成员之一,正常情况下表达于内皮细胞连接和血小板、单核细胞、粒细胞、B淋巴细胞的表面。
    CD31是血管和血管肿瘤的敏感、且特异性标记。不过,某些罕见情况下,非血管性肿瘤也可出现CD31的低水平表达,如某些淋巴瘤、浆细胞瘤、朗格汉斯细胞肿瘤、平滑肌肉瘤、间皮瘤、胶质瘤;甚至少数癌中也可出现CD31的低水平表达,如原位及浸润性乳腺癌、甲状腺乳头状癌。



    02

    CD34

    阳性表达模式:细胞膜

    推荐阳性质控组织:阑尾


    CD34是一种细胞表面黏附糖蛋白,表达于髓系和淋巴系造血细胞前体(precursor hematopoietic cells)、部分间质干细胞、内皮细胞的表面,且表达于这类细胞来源的大量肿瘤中。因此,CD34是造血系统干细胞及间质干细胞的重要标记之一,也可标记急性髓系白血病中的髓母细胞。
    临床实践中,CD34广泛用于血管及血管肿瘤的标记,但其特异性不如CD31。CD34也是其他肿瘤的重要标记,如隆突性皮肤纤维肉瘤、GIST。不过,由于其表达谱系宽泛,因此必须结合其他特异性更强的标记联合应用。
    图片

    03

    VIII因子

    阳性表达模式:细胞质

    推荐阳性质控组织:阑尾


    VIII因子是由三个亚基组成的糖蛋白复合体,各亚基的功能结合域分别对应结合血小板糖蛋白、胶原、肝素。VIII因子是由血管内皮细胞核巨核细胞合成的,储存于内皮细胞的Weibel-Palade小体内。
    VIII因子是血管和血管肿瘤的特异性标记,且其表达程度和血管肿瘤的分化级别有关,低分化血管肿瘤(如血管肉瘤)中表达程度极低。

    图片

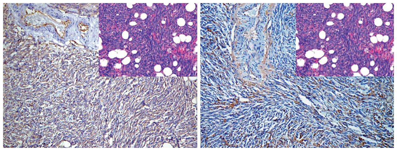
    图1. 血管肉瘤中,CD34(左)呈弥漫阳性,VIII因子(右)在大部分肿瘤细胞呈阳性表达。

    图片

    04

    Podoplanin


    阳性表达模式:细胞膜/细胞质

    推荐阳性质控组织:阑尾


    Podoplanin也称为D2-40,是一种I型跨膜黏液蛋白,表达于胎儿生殖细胞和某些成熟细胞的细胞膜,后者主要为淋巴管内皮细胞、间皮细胞。日常免疫组化检测中,该指标广泛用作标记淋巴管、淋巴管内皮来源肿瘤、间皮瘤;此外,也是精原细胞瘤的重要标记。不过,该指标的表达谱系比较宽泛,某些和前述肿瘤形态学相似的肿瘤也可出现该指标的表达,如平滑肌肉瘤、韧带样瘤、外周神经鞘瘤等,因此实际工作中必须注意加做其他更为特异的标记。

    图片

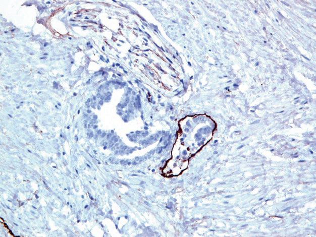
    图2. 淋巴管中的内皮细胞表达D2-40,本例为癌性淋巴管炎(lymphangitic carcinomatosis)。不过,图中上方可见神经中的施万细胞也有阳性着色。



    05

     ERG

    阳性表达模式:细胞核

    推荐阳性质控组织:血管


    ERG是ETS家族转录因子之一,在前列腺章节已有描述。正常情况下,ERG表达于内皮细胞,与血管生成的调节、内皮细胞凋亡的调节有关,因此是内皮细胞肿瘤中极为敏感和特异的标记。

    图片

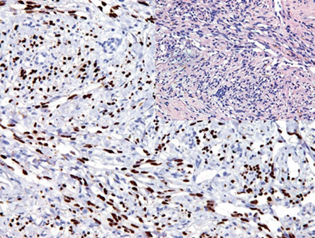
    图3. 血管肉瘤,肿瘤细胞的细胞核强阳性表达ERG。


    除内皮细胞肿瘤外,ERG还表达于部分不成熟的造血细胞。具有TMPRSS2-ERG易位的前列腺癌中,ERG也是阳性的。对于间叶性肿瘤来说,某些形态学类似血管性肿瘤的其他间叶性肿瘤有该指标的表达,具体如孤立性纤维性肿瘤、纤维性脑膜瘤、上皮样肉瘤。某些类型的淋巴瘤中,也有少量病例具有ERG的表达。

    图片


    06

     HHV-8

    HHV-8是一种DNA病毒,是Kaposi肉瘤、原发渗出性淋巴瘤、多中心型Castleman病的致病因素。证实有潜伏核抗原,是Kaposi肉瘤的诊断标记之一。

    图片

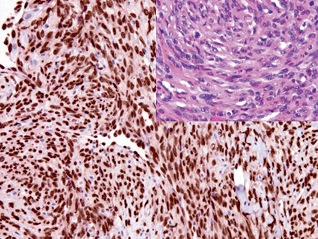
    图4. Kaposi肉瘤瘤细胞中,有HHV-8潜伏核抗原的表达。








    迈迈推荐:“有时候,我们千辛万苦地染出了一张张片子,但染色结果却不甚理想,为什么?抗体不好?本期迈迈推荐以下抗体,让您更加轻松染出漂亮的片子。

    抗体名称

    克隆号

    阳性对照

    细胞定位

    CD31*

    MX032

    血管瘤、肝脏

    胞膜

    CD34

    QBEnd/10

    血管瘤、肝脏

    胞膜/胞质

    D2-40

    D2-40

    小肠组织、间皮瘤

    胞质/胞膜

    ERG*

    MXR004

    血管肉瘤、前列腺癌

    胞核

    HHV-8

    13B10

    卡波西肉瘤

    胞质/胞核

    *标为万象城AWC(中国)克隆产品


    更多信息,请详询:800-8581156或400-889-9853