福州万象城AWC(中国)生物技术开发有限公司


万象城AWC(中国)

产品搜索
当前位置:万象城AWC(中国) > 新闻资讯 > 热点聚焦

“迈迈”病理周读笔记第三十三期 | 成纤维细胞肿瘤、成肌纤维细胞肿瘤、纤维组织细胞肿瘤诊断免疫组化指标

发布时间:2021-10-29 17:13:49



导语:


成纤维细胞、成肌纤维细胞肿瘤以及纤维组织细胞肿瘤都属于间叶性肿瘤。由于该组肿瘤分类复杂且不少类型在组织形态学难以区分,一般需要顺利获得免疫组化做进一步的鉴别诊断。因此,科学、合理的选择免疫组化指标对于精准的诊断是十分必要的。



图片



成纤维细胞肿瘤、成肌纤维细胞肿瘤、纤维组织细胞肿常用免疫组化指标



说明:成纤维(fibroblastic)细胞、成肌纤维(myofibroblastic)细胞英文名称中的-blastic 译法不同,有的翻译为相应的“母”细胞。本文按照现在已审定的相关科学技术名词,统一翻译为“成……”。

该组细胞相应的病变及肿瘤类型繁杂,且一般并无特异性免疫组化指标,详见表1、表2。其中常用免疫组化指标有Vimentin、Actin、Desmin、CD34、CD68。

表1. 成纤维/成肌纤维细胞肿瘤诊断常用免疫组化指标

图片

(点击可查看大图)


表2. 纤维组织细胞肿瘤诊断常用免疫组化指标

图片

(点击可查看大图)

备注:

  1. CD68和CD45仅表达于多核细胞。



部分指标详解



01

Vimentin

阳性表达模式:细胞质

推荐阳性质控组织:阑尾


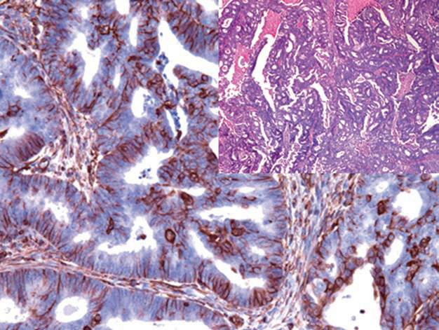
Vimentin是III型中间丝家族成员之一,表达于所有间质细胞,是相应细胞中细胞骨架的重要组成成分。III型中间丝家族成员包括了Vimentin、Desmin、GFAP、外周蛋白(peripherin)。就Vimentin来说,一般在所有原始细胞的胚胎发育早期表达,随着逐渐成熟和分化而被其他中间丝所取代。
需要注意的是,Vimentin作为单一指标应用的时候价值有限,因为很多上皮细胞及相应肿瘤中会有Vimentin和不同CK的共表达,具体如肺癌、涎腺的癌、肝癌及胆管癌、甲状腺癌、肾上腺皮质癌、肾癌、子宫内膜癌、性腺的癌、脑膜瘤。一般说来,低分化的癌可能会出现Vimentin的表达、而CK表达缺失,最终形成肉瘤样表型。因此,从实际诊断的角度来说,Vimentin只能用作一组诊断抗体的指标之一。

图片

图1. 子宫内膜样癌中,肿瘤性腺体强阳性表达Vimentin。

图片


02

STAT6

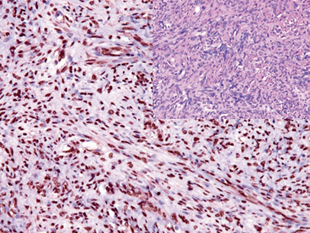
STAT6是细胞转录因子STAT家族成员之一,与DNA启动子和细胞受体之间信号传导的调制有关。孤立性纤维性肿瘤中具有特征性的遗传学异常,即12号染色体倒位inv. (12)(q13;q13),导致NAB2-STAT6融合转录,使得STAT6蛋白过表达,这也是孤立性纤维性肿瘤免疫组化中的重要特征。这一遗传学异常同时也影响了ERG-1基因的启动子,也是该肿瘤确诊的另一指标。

图片

图2. 孤立性纤维性肿瘤,免疫组化STAT6在细胞核强阳性表达。


不过,少数其他间质性肿瘤中也可有STAT6的过表达,如脑膜血管外皮细胞瘤(具有相同遗传学异常)、部分去分化脂肪肉瘤、韧带样瘤。


03

MUC4

MUC4在此前章节已有阐述;除表达于腺上皮肿瘤外,表达MUC4也是低级别纤维黏液肉瘤、硬化性上皮样纤维肉瘤、双相型滑膜肉瘤的特征性标记。








迈迈推荐:“免疫组化具有特异性强、灵敏度高、定位准确等特点,在病理学诊断中,发挥了持续重大的作用,但抗体的性能和质量将影响着诊断的结果,本期迈迈推荐以下抗体,您不妨可以试试哦。

抗体名称

克隆号

阳性对照

细胞定位

MUC4

8G7

结肠、肺腺癌

胞质

STAT6

EP325

孤立性纤维瘤

胞核/胞质

Vimentin*

MX034

胃肠道间质瘤、阑尾

胞核

*标为万象城AWC(中国)克隆产品


更多信息,请详询:800-8581156或400-889-9853